
배우 이문수 폐암 별세 이후, 갑자기 쏟아지는 ‘폐암 관심'
원인부터 생존율까지 폐암 핵심 정리
배우 이문수가 폐암 투병 끝에 별세했다는 소식이 전해지며, 많은 사람들이 “폐암은 조기 발견이 가능한가?”, “흡연을 하지 않아도 걸릴 수 있나?” 같은 질문을 다시 던지고 있습니다.
76세라는 나이가 결코 적지 않지만, 그가 드라마와 영화 속에서 보여주던 활력을 떠올리면 폐암이 주는 충격은 더 크게 다가옵니다. 최근 현실에서 폐암은 연예인뿐 아니라 평범한 사람들에게도 갑작스러운 방식으로 찾아와 경각심을 일으키고 있습니다.
배우의 별세 이후 검색량이 폭증할 만큼, 폐암은 한국에서 사망률 1위를 기록하는 대표적인 암입니다. 하지만 “폐암은 늦게 발견된다”는 두려움과 달리, 원인·초기증상·진단·생존율은 생각보다 더 세밀하게 공개돼 있습니다. 아래에서 폐암에 대해 모든 것을 알아보겠습니다.
1) 폐암이란 무엇인가 — 폐 속에서 조용히 자라는 암
폐암은 폐의 세포가 비정상적으로 자라면서 종양을 형성하는 병으로, 크게 두 가지로 나뉩니다.


1. 비소세포폐암(NSCLC)
— 전체 환자의 약 80~85%를 차지하며 상대적으로 성장 속도가 느립니다.
2. 소세포폐암(SCLC)
— 매우 빠르게 퍼지는 공격적 형태로, 조기 발견이 매우 어려운 특징이 있습니다.
폐암의 가장 큰 특징은 초기 증상이 거의 없다는 것이며, 특별한 불편함 없이 조용히 진행되기 때문에 발견 시기가 늦어지는 경우가 많습니다. 이문수 배우 사례처럼 일상 중 건강검진에서 발견되는 경우도 적지 않습니다.
2) 폐암 원인 7가지 — 흡연만이 아니다
폐암의 원인은 단순히 “담배 때문”으로 요약되지 않습니다. 최근에는 비흡연 폐암 비율이 크게 증가하면서 다양한 원인이 주목받고 있습니다.




1. 흡연(직접/간접 흡연)
폐암의 가장 강력한 위험 요인입니다. 담배 속 발암물질이 기관지와 폐포에 직접적인 손상을 주며 DNA 변이를 일으킵니다. 간접 흡연도 발병률을 크게 높이며, WHO는 ‘사회적 흡연’ 또한 폐암 위험 요인으로 공식 발표했습니다.
2. 라돈 및 실내 공기 오염
한국 아파트·주택에서 라돈 기준치 초과 사례가 지속적으로 보고되고 있습니다. 라돈은 무색·무취이기 때문에 노출 여부를 스스로 감지하기 어려우며, 장기 노출 시 폐세포 변형을 일으킵니다.
3. 미세먼지(PM2.5)
지속적으로 노출되면 폐포 깊숙이 침투해 염증 반응을 일으키고 암세포 성장 환경을 만듭니다. 연구에서는 PM2.5 농도가 높은 지역일수록 폐암 발생률이 의미 있게 증가한다고 밝혔습니다.
4. 석면 및 직업적 노출
건설업, 공장, 조선업 종사자들에게서 특히 높은 편입니다. 석면은 폐 조직에 미세 상처를 내며 장기간에 걸쳐 암세포 형성을 촉진합니다.
5. 유전적 요인(EGFR, ALK 변이 등)
한국 여성 폐암 환자의 상당수는 비흡연자이며, 유전적 변이가 폐암을 유발하는 경우가 많습니다. EGFR 돌연변이 폐암은 표적치료제가 효과적인 것으로 알려져 있습니다.
6. 만성 폐질환
천식, 만성폐쇄성폐질환(COPD)을 오래 앓을 경우 폐 조직 내 염증이 반복적으로 발생해 암 발생 확률을 높입니다.
7. 식습관 및 생활 환경
가공육 과다 섭취, 운동 부족, 오랜 실내 생활 등은 면역 기능을 떨어뜨려 암 발생 위험을 높입니다. 꾸준한 움직임은 폐의 산소 순환을 개선해 위험을 낮추는 것으로 보고됩니다.
3) 폐암 초기증상 7가지 — ‘없다’가 가장 무섭다
초기 폐암은 증상이 거의 없다는 것이 특징입니다. 하지만 진행 단계에 따라 아래와 같은 신호가 나타나기도 합니다.




1. 기침이 3주 이상 지속됨
특히 평소 하지 않던 마른기침이 갑자기 생기고 오래 지속된다면 주의해야 합니다.
2. 숨이 차고 호흡이 갑자기 불편해짐
평소처럼 움직였는데 숨이 더 가빠지는 현상은 폐의 용적이 줄어드는 대표적인 징후입니다.
3. 가래에 피가 섞여 나옴(혈담)
기관지 내부 출혈이 진행될 때 나타나는 전형적 증상입니다.
4. 흉통 및 등 통증
폐 주변 신경이 자극될 때 나타나며, 깊은 숨을 들이쉴 때 통증이 심해질 수 있습니다.
5. 식욕 저하와 원인 없는 체중 감소
암의 전신적 대사 작용 때문이며, 폐암뿐 아니라 대부분의 고형암에서 공통적으로 나타납니다.
6. 쉰 목소리
성대 움직임을 관장하는 신경이 종양에 눌리면서 발생합니다.
7. 반복되는 폐렴 또는 기관지염
폐 일부가 막히면서 염증이 자주 생기는 경우가 있어 “감기가 잘 낫지 않는다”는 형태로 나타납니다.
4) 폐암 진단 방법 7가지 — 조기 발견이 생존율을 바꾼다
폐암은 조기에만 발견해도 생존율이 2~4배 이상 달라질 수 있습니다. 다음은 실제 진단에 사용되는 7가지 방법입니다.




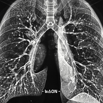
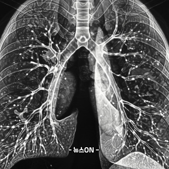
1. 저선량 흉부 CT(LDCT)
가장 중요한 검사입니다. 폐암 사망률을 최대 20~30%까지 낮춘다는 연구 결과가 있어 국가검진에도 포함돼 있습니다.
2. 흉부 X-ray
선별용이지만 폐암 조기 발견에는 한계가 큽니다.
3. 기관지 내시경 검사
기관지 내부에 직접 카메라를 넣어 종양 위치를 확인하는 방식입니다.
4. 조직검사(생검)
폐암 확진을 위한 골든 스탠다드입니다. 종양의 성격, 유전자 변이가 모두 여기서 결정됩니다.
5. PET-CT(양전자 단층촬영)
암의 전이 여부를 확인하는 데 사용됩니다.
6. 혈액 종양표지자 검사(CEA 등)
폐암 가능성을 보조적으로 판단할 때 활용됩니다.
7. 유전자 검사(EGFR, ALK 등)
표적치료제 선택에 필수로 사용되는 검사입니다.
5) 폐암 치료 7가지 — 최신 치료는 ‘정밀의학’ 중심




폐암 치료는 매년 빠르게 발전하고 있으며, 과거보다 선택지가 다양해지고 생존 기간도 눈에 띄게 길어지는 추세입니다.
1. 수술 치료
비소세포폐암 초기라면 가장 효과적인 방법으로, 종양과 주변 림프절을 제거합니다.
2. 항암 화학요법
암세포 분열을 억제하는 전통적 치료입니다. 다른 치료와 조합해 효과를 높입니다.
3. 방사선 치료
정밀 타격으로 종양을 줄이며, 통증 완화에도 효과가 있습니다.
4. 표적치료제(EGFR·ALK 돌연변이 등)
암세포만 공격하는 방식으로 부작용이 적고 효과가 빠릅니다.
5. 면역항암제(PD-1, PD-L1 억제제)
몸의 면역 체계를 활성화해 암세포를 스스로 공격하게 하는 새로운 치료 방식입니다.
6. 방사선수술(SBRT)
수술이 어려운 초기 환자에게 매우 효과적인 비침습 치료 방법입니다.
7. 완화 치료(Palliative Care)
호흡곤란, 통증, 불안감 등을 관리해 삶의 질을 유지하는 치료입니다.
6) 폐암 생존율 — ‘조기 발견’이 거의 모든 것을 바꾼다
생존율은 단계와 치료 방식에 따라 큰 차이가 있습니다. 아래는 전 세계 의학 데이터를 기반으로 정리한 대표 수치입니다.
1. 1기 비소세포폐암 생존율 60~80%
조기 발견 시 가장 효과적인 단계입니다.
2. 2기 생존율 약 40~50%
수술과 항암 치료 병행 시 예후 개선이 가능합니다.
3. 3기 생존율 20~30%
전이가 시작되는 단계지만, 면역항암제 도입 이후 생존 기간이 길어지고 있습니다.
4. 4기(전이성 폐암) 생존율 약 5~10%
가장 어려운 단계지만 면역치료 도입으로 ‘장기 생존’ 사례가 빠르게 증가하고 있습니다.
5. 소세포폐암 생존율 평균 6~15%
진행이 빠르고 조기 발견이 어려워 낮은 편입니다.
6. 금연자의 생존율이 더 높음
흡연자는 치료 효과가 떨어지고 재발률도 더 높습니다.
7. 표적·면역치료 도입 후 생존율이 2배 이상
상승 EGFR 변이가 있는 비흡연 여성 환자들의 장기 생존 사례가 계속 보고되고 있습니다.
이문수 배우의 별세가 남긴 질문




배우 이문수의 별세는 한 사람의 죽음이 아니라, 우리가 쉽게 지나치던 폐암의 위험을 다시 바라보게 만드는 계기가 되고 있습니다. 평소 증상이 없다고 안심하기 어렵고, 담배를 피우지 않는다고 비켜가는 병도 아닙니다.
하지만 조기검진과 최신 치료법이 빠르게 발전하면서 폐암은 한때의 ‘절망형 암’에서 벗어나 생존율을 실질적으로 끌어올릴 수 있는 단계에 들어왔습니다.
한 해를 마무리하는 지금, 건강검진 일정이 있다면 한 번 더 점검해보는 것도 중요할 것 같습니다. 일상이 바쁜 사람일수록 조용히 찾아오는 질병에 더 취약하기 때문입니다.
2025.11.29 - [건강] - 이문수 별세 사망원인 폐암 | 이문수 장례일정 장례식장 빈소 발인 장지 | 이문수 사망
이문수 별세 사망원인 폐암 | 이문수 장례일정 장례식장 빈소 발인 장지 | 이문수 사망
배우 이문수 별세 폐암 투병 끝에 76세로 영면 빈소·발인·장지는 어디인가 배우 이문수가 폐암 투병 끝에 세상을 떠났습니다. 드라마 ‘시그널’, 영화 ‘헬로고스트’ 등에서 묵직한 존재감을
fastupdatenews1.com
2025.11.02 - [건강] - 백성문 병명 | 부비동암 뜻 | 1기 2기 3기 4기 증상 | 부비동암 생존율 | 백성문 별세
백성문 병명 | 부비동암 뜻 | 1기 2기 3기 4기 증상 | 부비동암 생존율 | 백성문 별세
백성문 병명 ‘부비동암이란?’ 부비동암 1기·2기·3기·4기 증상과 병기별 특징 2025년 10월 31일 고(故) 백성문 변호사가 부비동암으로 별세했다는 소식이 전해졌습니다. 그의 아내 김선영 앵커는
fastupdatenews1.com
2025.11.05 - [건강] - 안성기 혈액암 투병 | 혈액암 원인 | 증상 | 혈액암 생존율 | 치료 | 혈액암이란
안성기 혈액암 투병 | 혈액암 원인 | 증상 | 혈액암 생존율 | 치료 | 혈액암이란
💉 혈액암 원인·증상·치료·생존율 – 배우 안성기님의 근황을 통해 본 병의 진실 최근 배우 안성기님의 건강 소식이 다시 전해졌습니다. 한 시대의 상징 같은 배우였던 그는 오랜 투병 끝에
fastupdatenews1.com
2025.11.01 - [건강] - 부비동암 생존율 | 백성문 병명 부비동암 | 원인 | 부비동암 증상 백성문 변호사 사망
부비동암 생존율 | 백성문 병명 부비동암 | 원인 | 부비동암 증상 백성문 변호사 사망
💧 부비동암 원인·증상·생존율·예후– 고(故) 백성문 변호사님의 투병으로 다시 주목받는 희귀암 지난 10월, 법조계와 방송계 모두가 슬픔에 잠겼습니다. 고(故) 백성문 변호사님께서 오랜 투
fastupdatenews1.com
'건강' 카테고리의 다른 글
| 칼륨 부족현상 : 경련 쥐 피로 손발 저림 (0) | 2025.11.29 |
|---|---|
| 콜라겐 많은 음식 : 닭발 돼지 껍데기 연어 (1) | 2025.11.29 |
| 이문수 별세 사망원인 폐암 | 이문수 장례일정 장례식장 빈소 발인 장지 | 이문수 사망 (0) | 2025.11.29 |
| 콜라겐의 효능 | 콜라겐이란 : 피부 탄력 주름 골밀도 (0) | 2025.11.29 |
| 비타민B3가 많은 식품 : 닭가슴살 땅콩 고등어 (0) | 2025.11.29 |